
王月平主任
华美微创美学修复医生
华美牙齿矫正美学微笑设计师
擅长项目:
牙齿正畸、美学修复、牙齿美白
行医理念:我志在为患者提供不只带来健康,更要求美容美观的正畸理念和解决方案!
个人简介:
王月平主任,华美牙齿矫正美学微笑设计师,拥有非常丰富的临床经验,多年的求学和行医经验,使他积累了丰富的临床经验,形成了自己的矫正理念,牙齿美学矫正。
矫正牙齿同时脸型一同变美,主张“口腔功能与美观兼备”不仅矫正不齐牙齿,并帮您重塑微笑线,让每一颗牙齿都能找到能展现美的位置.运用数字化可视技术,为每一个顾客实现牙齿整齐的梦想。
牙齿矫正技术特色:
舒适,无需结扎:闭锁装置,舒适,无需结扎,避免了结扎丝末端对软组织的损伤。
准确,刺激小:辅以准确测量牙齿移动距离,对牙龈刺激小,保护青少年娇嫩的牙周。
卫生,方便快捷:无结扎丝等附件,有利于口腔清洁,减少摩擦,缩短疗程。
注重美学黄金比例效果:在牙齿矫正过程中,会考虑整体面部情况,将脸部轮廓比例,嘴型全部考虑进行,最终达到美丽的效果。
微创美学修复技术特色:
融入美学设计:针对不同牙齿,让顾客参与当中,融入美学设计,定制属于你的齿形。
保障健康牙体:精准的手法,保留健康牙体,创伤小,磨牙量少。
健康美齿:整个过程,操作细致规范,手法精致,不伤牙神经,刺激感小。
舒适美观:治疗方式灵活多样,备牙少,且边缘曲线光滑,形态美观,色泽逼真。
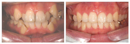
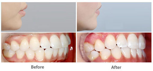
他的成功实例:

牙齿不齐矫正前后对比

龅牙矫正前后对比

牙缝修复前后对比